抜歯 を回避する矯正法 非抜歯矯正 とリスク 歯列矯正歯科の総合メディア With Smile 安い矯正治療を皆様に
非抜歯矯正では、歯を抜かない代わりに、咬み合わせを高くして歯を動かします。 上顎前突(いわゆる出っ歯)の症例で説明します。 出っ歯と言うのは簡単に言うと歯が前に傾斜している状態です。 抜歯矯正の仕組み 抜歯矯正のやり方をまず説明します。 3 6番を後ろに送ってしまう「非抜歯矯正」 31 4抜歯より予後の悪い非抜歯矯正 32 3を前に送ればゴリラ6を後ろに送ればカッパ 4 機能矯正ではゴリラにもカッパにもならない 抜かないと出っ歯になるはお決まりの脅し文句 抜かないと出っ歯になる 抜かないとゴリラ顔になる 抜歯矯正を受けたまたは相談に行った方は一度はこの決まり文句を聞かれたことがあるのではないでしょうか?
非抜歯矯正 ゴリラ顔
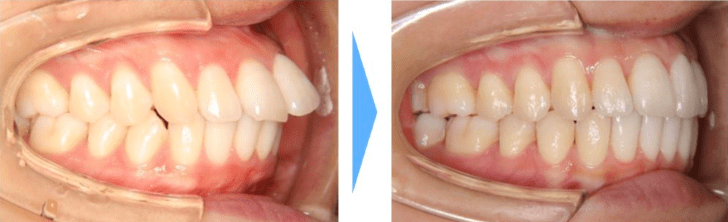
非抜歯矯正 ゴリラ顔-17年11月に終了となりました。 矯正開始からちょうど1年後に 非抜歯矯正の終了を告げられたので 1年前と1年後の ビフォーアフターです。 どのくらい変化を遂げたのか 写真つきで載せていきます。 非抜歯矯正の治療内容については 後半で紹介します。 前歯の傾き度合いが小さい場合は非抜歯矯正で治療可能なケースもあります。 ③口元の突き出し方の大きさ 口元が大きく前に突き出ているようなケースでは歯を後ろに移動させる距離も長くなります。 このため、抜歯が必要になることが多いです。 特に口ゴボやゴリラ顔などの症状がある
口元がゴリラのようになっています 抜歯矯正で改善が見込めますか また インビザラインでの抜歯矯正でも可能ですか 矯正治療のスーパーカウンセラー 歯並びtv
「非抜歯矯正をするとゴリラ顔になる」 この誤解でいう 「ゴリラ顔」とは前歯が前に出てしまう状態 のことです。おそらく実例に基づく指摘でしょう。 前歯が前に出てしまうような矯正は、スペースを十分に確保できないうちに歯を並べようとした結果ではないかと推察されます。 大事な18 hours ago また非抜歯で口元がゴリラになってしまった例が多くあり非抜歯に不安も大きいです。 皆さんは矯正する際に抜歯をしましたか?それとも非抜歯で行いましたか? 返信 1件の返信 01 2 匿名 (土) 0539 通報 返信 1件の返信 01 3 匿名 (土) 0555 通報 抜歯しないと歯並び非抜歯矯正 ゴリラ よくある非抜歯矯正の失敗と誤解。後戻りしやすい、ゴリラ顔になるなど、非抜歯矯正に誤ったイメージをもっている方が多いようです。逆に、どんな症例でも非抜歯でできる、というのも間違った認識です 本日、矯正治療についてある
抜歯への葛藤 出っ歯の非抜歯矯正はゴリラ顔までは治りませんでした 投稿日:18年1月6日 抜歯の日が近づいてきました Sponsored link 非抜歯から抜歯矯正へ。 いよいよ抜歯の日が近づいてきました。 ”ここまできたら引き返せない” ”自分で決めたことだから” と言い聞かせてますが あと同じような質問で「非抜歯治療はゴリラ顔になる」とか逆に「抜歯矯正をすると小顔になる」というお話。 「顎を広げる」と聞くと、こんな姿を想像してしまうのかもしれません。 結論から話すと 床矯正治療などで顎の拡大で「顔がゴリラ顔になる」というのはありません。 ②広げる
非抜歯矯正 ゴリラ顔のギャラリー
各画像をクリックすると、ダウンロードまたは拡大表示できます
![]() 歯列矯正で横顔改善 代からシニアまで歯列矯正 | ![]() 歯列矯正で横顔改善 代からシニアまで歯列矯正 | 歯列矯正で横顔改善 代からシニアまで歯列矯正 |
![]() 歯列矯正で横顔改善 代からシニアまで歯列矯正 | ![]() 歯列矯正で横顔改善 代からシニアまで歯列矯正 | ![]() 歯列矯正で横顔改善 代からシニアまで歯列矯正 |
歯列矯正で横顔改善 代からシニアまで歯列矯正 | ![]() 歯列矯正で横顔改善 代からシニアまで歯列矯正 | ![]() 歯列矯正で横顔改善 代からシニアまで歯列矯正 |
「非抜歯矯正 ゴリラ顔」の画像ギャラリー、詳細は各画像をクリックしてください。
![]() 歯列矯正で横顔改善 代からシニアまで歯列矯正 | ![]() 歯列矯正で横顔改善 代からシニアまで歯列矯正 | ![]() 歯列矯正で横顔改善 代からシニアまで歯列矯正 |
![]() 歯列矯正で横顔改善 代からシニアまで歯列矯正 | ![]() 歯列矯正で横顔改善 代からシニアまで歯列矯正 | 歯列矯正で横顔改善 代からシニアまで歯列矯正 |
![]() 歯列矯正で横顔改善 代からシニアまで歯列矯正 | 歯列矯正で横顔改善 代からシニアまで歯列矯正 | ![]() 歯列矯正で横顔改善 代からシニアまで歯列矯正 |
「非抜歯矯正 ゴリラ顔」の画像ギャラリー、詳細は各画像をクリックしてください。
![]() 歯列矯正で横顔改善 代からシニアまで歯列矯正 | ![]() 歯列矯正で横顔改善 代からシニアまで歯列矯正 | ![]() 歯列矯正で横顔改善 代からシニアまで歯列矯正 |
![]() 歯列矯正で横顔改善 代からシニアまで歯列矯正 | ![]() 歯列矯正で横顔改善 代からシニアまで歯列矯正 | ![]() 歯列矯正で横顔改善 代からシニアまで歯列矯正 |
歯列矯正で横顔改善 代からシニアまで歯列矯正 | 歯列矯正で横顔改善 代からシニアまで歯列矯正 | ![]() 歯列矯正で横顔改善 代からシニアまで歯列矯正 |
「非抜歯矯正 ゴリラ顔」の画像ギャラリー、詳細は各画像をクリックしてください。
![]() 歯列矯正で横顔改善 代からシニアまで歯列矯正 | ![]() 歯列矯正で横顔改善 代からシニアまで歯列矯正 | 歯列矯正で横顔改善 代からシニアまで歯列矯正 |
![]() 歯列矯正で横顔改善 代からシニアまで歯列矯正 | ![]() 歯列矯正で横顔改善 代からシニアまで歯列矯正 | ![]() 歯列矯正で横顔改善 代からシニアまで歯列矯正 |
![]() 歯列矯正で横顔改善 代からシニアまで歯列矯正 | ![]() 歯列矯正で横顔改善 代からシニアまで歯列矯正 | 歯列矯正で横顔改善 代からシニアまで歯列矯正 |
「非抜歯矯正 ゴリラ顔」の画像ギャラリー、詳細は各画像をクリックしてください。
歯列矯正で横顔改善 代からシニアまで歯列矯正 | ![]() 歯列矯正で横顔改善 代からシニアまで歯列矯正 | 歯列矯正で横顔改善 代からシニアまで歯列矯正 |
![]() 歯列矯正で横顔改善 代からシニアまで歯列矯正 | ![]() 歯列矯正で横顔改善 代からシニアまで歯列矯正 | ![]() 歯列矯正で横顔改善 代からシニアまで歯列矯正 |
![]() 歯列矯正で横顔改善 代からシニアまで歯列矯正 | 歯列矯正で横顔改善 代からシニアまで歯列矯正 | ![]() 歯列矯正で横顔改善 代からシニアまで歯列矯正 |
「非抜歯矯正 ゴリラ顔」の画像ギャラリー、詳細は各画像をクリックしてください。
歯列矯正で横顔改善 代からシニアまで歯列矯正 | ![]() 歯列矯正で横顔改善 代からシニアまで歯列矯正 | ![]() 歯列矯正で横顔改善 代からシニアまで歯列矯正 |
![]() 歯列矯正で横顔改善 代からシニアまで歯列矯正 | ![]() 歯列矯正で横顔改善 代からシニアまで歯列矯正 | ![]() 歯列矯正で横顔改善 代からシニアまで歯列矯正 |
![]() 歯列矯正で横顔改善 代からシニアまで歯列矯正 | ![]() 歯列矯正で横顔改善 代からシニアまで歯列矯正 | 歯列矯正で横顔改善 代からシニアまで歯列矯正 |
「非抜歯矯正 ゴリラ顔」の画像ギャラリー、詳細は各画像をクリックしてください。
![]() 歯列矯正で横顔改善 代からシニアまで歯列矯正 | ![]() 歯列矯正で横顔改善 代からシニアまで歯列矯正 | 歯列矯正で横顔改善 代からシニアまで歯列矯正 |
![]() 歯列矯正で横顔改善 代からシニアまで歯列矯正 | ![]() 歯列矯正で横顔改善 代からシニアまで歯列矯正 | ![]() 歯列矯正で横顔改善 代からシニアまで歯列矯正 |
![]() 歯列矯正で横顔改善 代からシニアまで歯列矯正 | 歯列矯正で横顔改善 代からシニアまで歯列矯正 | ![]() 歯列矯正で横顔改善 代からシニアまで歯列矯正 |
「非抜歯矯正 ゴリラ顔」の画像ギャラリー、詳細は各画像をクリックしてください。
![]() 歯列矯正で横顔改善 代からシニアまで歯列矯正 | ![]() 歯列矯正で横顔改善 代からシニアまで歯列矯正 | ![]() 歯列矯正で横顔改善 代からシニアまで歯列矯正 |
![]() 歯列矯正で横顔改善 代からシニアまで歯列矯正 | ![]() 歯列矯正で横顔改善 代からシニアまで歯列矯正 | ![]() 歯列矯正で横顔改善 代からシニアまで歯列矯正 |
歯列矯正で横顔改善 代からシニアまで歯列矯正 | ![]() 歯列矯正で横顔改善 代からシニアまで歯列矯正 | ![]() 歯列矯正で横顔改善 代からシニアまで歯列矯正 |
「非抜歯矯正 ゴリラ顔」の画像ギャラリー、詳細は各画像をクリックしてください。
![]() 歯列矯正で横顔改善 代からシニアまで歯列矯正 | ![]() 歯列矯正で横顔改善 代からシニアまで歯列矯正 | ![]() 歯列矯正で横顔改善 代からシニアまで歯列矯正 |
![]() 歯列矯正で横顔改善 代からシニアまで歯列矯正 | ![]() 歯列矯正で横顔改善 代からシニアまで歯列矯正 | 歯列矯正で横顔改善 代からシニアまで歯列矯正 |
歯列矯正で横顔改善 代からシニアまで歯列矯正 | ![]() 歯列矯正で横顔改善 代からシニアまで歯列矯正 | ![]() 歯列矯正で横顔改善 代からシニアまで歯列矯正 |
「非抜歯矯正 ゴリラ顔」の画像ギャラリー、詳細は各画像をクリックしてください。
歯列矯正で横顔改善 代からシニアまで歯列矯正 | ![]() 歯列矯正で横顔改善 代からシニアまで歯列矯正 | ![]() 歯列矯正で横顔改善 代からシニアまで歯列矯正 |
![]() 歯列矯正で横顔改善 代からシニアまで歯列矯正 | ![]() 歯列矯正で横顔改善 代からシニアまで歯列矯正 | ![]() 歯列矯正で横顔改善 代からシニアまで歯列矯正 |
![]() 歯列矯正で横顔改善 代からシニアまで歯列矯正 | ![]() 歯列矯正で横顔改善 代からシニアまで歯列矯正 | ![]() 歯列矯正で横顔改善 代からシニアまで歯列矯正 |
「非抜歯矯正 ゴリラ顔」の画像ギャラリー、詳細は各画像をクリックしてください。
![]() 歯列矯正で横顔改善 代からシニアまで歯列矯正 | ![]() 歯列矯正で横顔改善 代からシニアまで歯列矯正 | 歯列矯正で横顔改善 代からシニアまで歯列矯正 |
![]() 歯列矯正で横顔改善 代からシニアまで歯列矯正 | ![]() 歯列矯正で横顔改善 代からシニアまで歯列矯正 | ![]() 歯列矯正で横顔改善 代からシニアまで歯列矯正 |
![]() 歯列矯正で横顔改善 代からシニアまで歯列矯正 | ![]() 歯列矯正で横顔改善 代からシニアまで歯列矯正 | ![]() 歯列矯正で横顔改善 代からシニアまで歯列矯正 |
「非抜歯矯正 ゴリラ顔」の画像ギャラリー、詳細は各画像をクリックしてください。
![]() 歯列矯正で横顔改善 代からシニアまで歯列矯正 | 歯列矯正で横顔改善 代からシニアまで歯列矯正 | ![]() 歯列矯正で横顔改善 代からシニアまで歯列矯正 |
![]() 歯列矯正で横顔改善 代からシニアまで歯列矯正 | ![]() 歯列矯正で横顔改善 代からシニアまで歯列矯正 |
Incoming Term: 非抜歯矯正 ゴリラ顔,





















































































0 件のコメント:
コメントを投稿